一般歯科治療
口腔内の健診・小さなむし歯や実質欠損の充填治療(歯と同じ色調の材料)、歯内療法(歯の根の治療)、歯周治療(歯槽膿漏など)、抜歯、補綴(クラウン、義歯)などの一般的な治療を行なっています。
患者さんの噛み合わせや審美面を考慮して、できるだけ金属を用いない修復治療をご提案します。
ホーム ≫ 診療案内 ≫
口腔内の健診・小さなむし歯や実質欠損の充填治療(歯と同じ色調の材料)、歯内療法(歯の根の治療)、歯周治療(歯槽膿漏など)、抜歯、補綴(クラウン、義歯)などの一般的な治療を行なっています。
 
        
      小さなむし歯は、原因のむし歯の部分を削除して、歯と同じ色の硬い樹脂(コンポジットレジン)を充填したり、歯と同じ色のインレーを接着します。
また、充填物などによって変色した歯に対しても歯と同じ色調の材料で充填します。
 
        
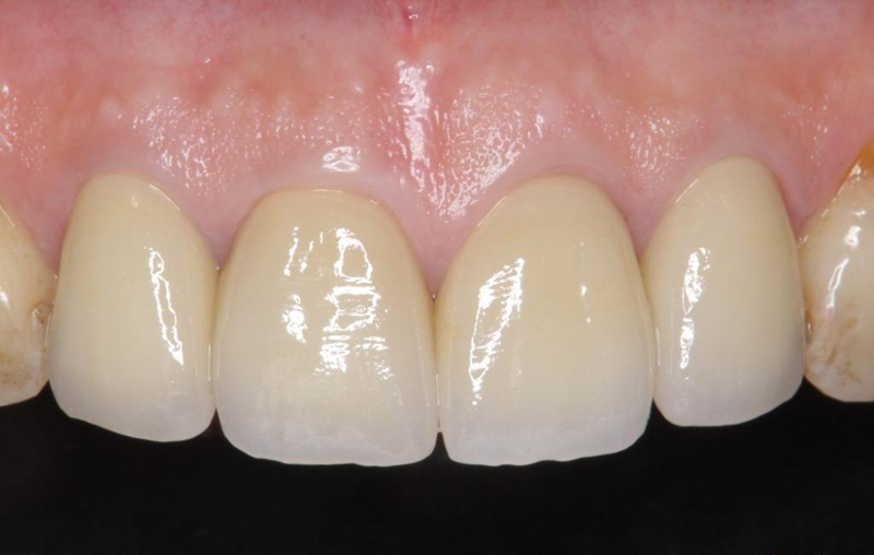
      歯の実質欠損が大きくなった場合(むし歯が大きい場合)、あるいは古くなったクラウン(冠)をやり直す場合の修復物で、歯の表面を一層削除して、コンポジットレジン(樹脂)やセラミックスで治療を行います。
保険診療でも、条件が合えば前歯から第一大臼歯までCAD/CAM冠(高品質なコンポジットレジンブロックを機械加工する)で、審美的な修復を行うことができます。
 
        
      セラミッククラウンは、自費診療になります。
メタル(金属)のフレームにポーセレンを焼き付けたクラウン(メタルボンドクラウン)と、まったくメタル(金属)を使用しないクラウン(オールセラミッククラウン)がありますが、最近は、より審美性の高い、メタル(金属)を使用しないガラスセラミックスや高強度のジルコニアを使用することが多いです。
 
        
      喪失した歯の本数が少ない場合は、ブリッジ(固定性の橋義歯)で対応します。
ブリッジは補強のために両サイドの歯にクラウン、喪失している歯のところには架工歯(あたかも歯があるように)を入れて製作します。
保険診療では制約上メタル(金属)を使用しなければなりませんが、自費診療ではメタルボンドやオールセラミック(ジルコニア)で製作することによって高強度で審美的なブリッジで修復できます。
 
        
      喪失した歯が多い場合は、残存歯を守るために、部分床義歯(部分的な取り外しの入れ歯)を装着し、歯がすべて失われた場合は全部床義歯(総入れ歯)となります。
なお、保険診療では,材料に制約があるため,義歯(入れ歯)の維持をするためにクラスプ(バネ)が必要になります。クラスプの配置は、義歯の安定にとってとても重要になります。また総義歯(総入れ歯)は、まったく歯のないところに上下顎28本の歯を作るわけですから、とても難しい治療になります。治療の1ステップごとを大切にして行なっていきます。
自費診療では、残存している歯の位置や骨植を考慮して構造力学的に設計を行い、メタルフレームを用いた金属床義歯で治療します。また、残存歯の歯根を用いたオーバーデンチャーで、クラスプを見せない審美的で安定した義歯の設計も可能です。
 
        
      保険診療でも天然歯のような色調のクラウン(CAD/CAM冠)を装着することも可能です。
自費診療では最新の材料(ガラスセラミックスやジルコニア)を用いて、天然歯に近い色調と強さの修復が可能です。
先進医療としてコンピュータの支援で修復物を製作するために常に安定した、高品質な修復物を提供することができます。
また、変色歯の治療として「ラミネートべニア修復」があります。特殊な治療法ですが、歯の表面を一層削除して、薄いシェル状の歯を強力な接着性レジンセメントで装着するものです。歯の削除量が少なく、術前術後で劇的な審美性が得られ、少々の歯並びや歯の隙間も治療できます。
 
        
      上顎の歯と下顎の歯のかみ合わせはとても大切です。
左右均等にかみ合わされていないと、顎の痛み、肩こり、頭痛、顔面の非対称などの症状が出てきます。
本院では、コンピュータを使用してかみ合わせの評価を行い、現状を説明し、どのように治療すればいいかご提案させていただきます。
 
        
      歯が失われた顎骨に、人工歯根を埋入し、修復物を装着する術式で、義歯(入れ歯)の欠点(装着感が悪い、取り外しが面倒、咀嚼しにくい、見た目が良くないなど)、ブリッジの欠点(健全な歯を削らないといけない、装着後の清掃がしにくいなど)を改善するもので、機能的、審美的に満足度の高い治療法です。
インプラント治療が可能なのは、口腔ケアができる人、人工歯根を埋入できる骨があること、全身的に重篤な疾患がないことなどが挙げられます。自費診療となり、CT(断層レントゲン写真)や精密な口腔内検査後、治療方法について十分な説明を行ないます。

【住所】
〒630-0243
奈良県生駒市俵口町95-2
【電話・FAX】 0743-74-6886
【定休日】
木・日・祝日・お盆・年末年始
※完全予約制です。
※予約時に、ご希望の来院時間を
お知らせください。
スマートフォンからのアクセスはこちら